Refresh tired eyes and restore youthful radiance.
What Is Eyelid Surgery?
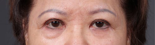
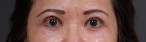
Eyelid surgery, or blepharoplasty, is a procedure that removes or repositions excess skin, fat, and tissue from the upper or lower eyelids. The result is a more open, alert expression and a smoother contour around the eyes.
Blepharoplasty can correct:
- Drooping upper eyelids that age or obscure the eyes
- Puffy bags and sagging beneath the eyes
- Vision obstruction caused by overhanging eyelid skin
- Uneven or asymmetrical eyelid folds
- Genetic puffiness or under-eye hollows
































